CASE 1- CAD WITH SEVERE KYPHOSCOLIOSIS
NAME- MR. SHANTILAL SHAH
AGE- 52 YEARS/MALE
SUCCESS STORY AT PLATINUM HOSPITAL
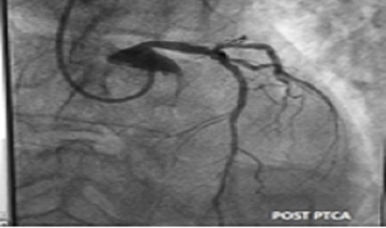
A 52 year old male Mr. Shantilal Shah had anterior wall MI thrombolysed with STK. Coronary angiography showed critical tripple vessel disease.
Cardiac surgeon refused CABG surgery at higher cardiac center in view of severe kyphoscoliosis. Cardiac anesthetic refused case due to restrictive lung disease and inability to give general anesthesia.
This challenging case came to Dr. Vivek Gaikwad & Team at platinum hospital vasai for revasculation. Hence we planned to do angioplasty. Left Radial access was obtained in view of tortuous aorta & inability to do angioplasty through femoral artery. PTCA TO LAD & LCX DONE propped up 30- degree position with two stents with good results.
Case Studies
- CAD WITH SEVERE KYPHOSCOLIOSIS
- LEFT MAIN CASE
- CRT CASE. (1st TIME IN VASAI-VIRAR)
- ROTABLATION CASE
- CABG GRAFT FAILURE CASE
- PTCA to LEFT MAIN
- LVAD/ TEMPORARY RVAD DONE
- MASSIVE ANTERIOR WALL
- COMPLEX CORONARY ANGIOPLASTY
- PTCA TO LAD
- PTCA TO LAD DONE WITH ROTA
- PTCA TO RCA
- PAMI TO LAD
- PTCA TO LCX
- LAD TO IABP
